Non-Haematopoietic Cells in the Bone Marrow

Non-hematopoietic cells may be found in the bone marrow. These are commonly metastatic in nature.

Carcinoma of the breast is the most common metastatic disease detected in the bone marrow in women, wile lung carcinoma is the most common among men. Neuroblastoma has the highest incidence in children.

Blood Film Features:

  • Leucoerythroblastic picture
  • It is very rare to see circulating non-hematopoietic cells in the peripheral blood

Bone Marrow Features:

Features to suggest non-haematopoietic cells

  • Clumps of  cells
  • Pleomorphic nucleus with moulding of nuclei by adjacent cells
Toggle Toolbar

Toolbar

Adjustments

Brightness
Contrast
Saturation
Zoom In
Zoom In
Toggle Full Screen
0 x
Toggle Toolbar

Toolbar

Adjustments

Brightness
Contrast
Saturation
Zoom In
Zoom In
Toggle Full Screen
0 x

Peripheral blood films from two patients with patient metastatic neuroblastoma.

Toggle Toolbar

Toolbar

Adjustments

Brightness
Contrast
Saturation
Zoom In
Zoom In
Toggle Full Screen
0 x
Toggle Toolbar

Toolbar

Adjustments

Brightness
Contrast
Saturation
Zoom In
Zoom In
Toggle Full Screen
0 x
Toggle Toolbar

Toolbar

Adjustments

Brightness
Contrast
Saturation
Zoom In
Zoom In
Toggle Full Screen
0 x

Bone marrow aspirates from two patients with metastatic neuroblastoma to the bone marrow. Homer-wright rosettes are often seen in neuroblastomas.

Toggle Toolbar

Toolbar

Adjustments

Brightness
Contrast
Saturation
Zoom In
Zoom In
Toggle Full Screen
0 x
Toggle Toolbar

Toolbar

Adjustments

Brightness
Contrast
Saturation
Zoom In
Zoom In
Toggle Full Screen
0 x

Peripheral blood film from two patients with metastatic retinoblastoma.

Toggle Toolbar

Toolbar

Adjustments

Brightness
Contrast
Saturation
Zoom In
Zoom In
Toggle Full Screen
0 x
Toggle Toolbar

Toolbar

Adjustments

Brightness
Contrast
Saturation
Zoom In
Zoom In
Toggle Full Screen
0 x
Toggle Toolbar

Toolbar

Adjustments

Brightness
Contrast
Saturation
Zoom In
Zoom In
Toggle Full Screen
0 x

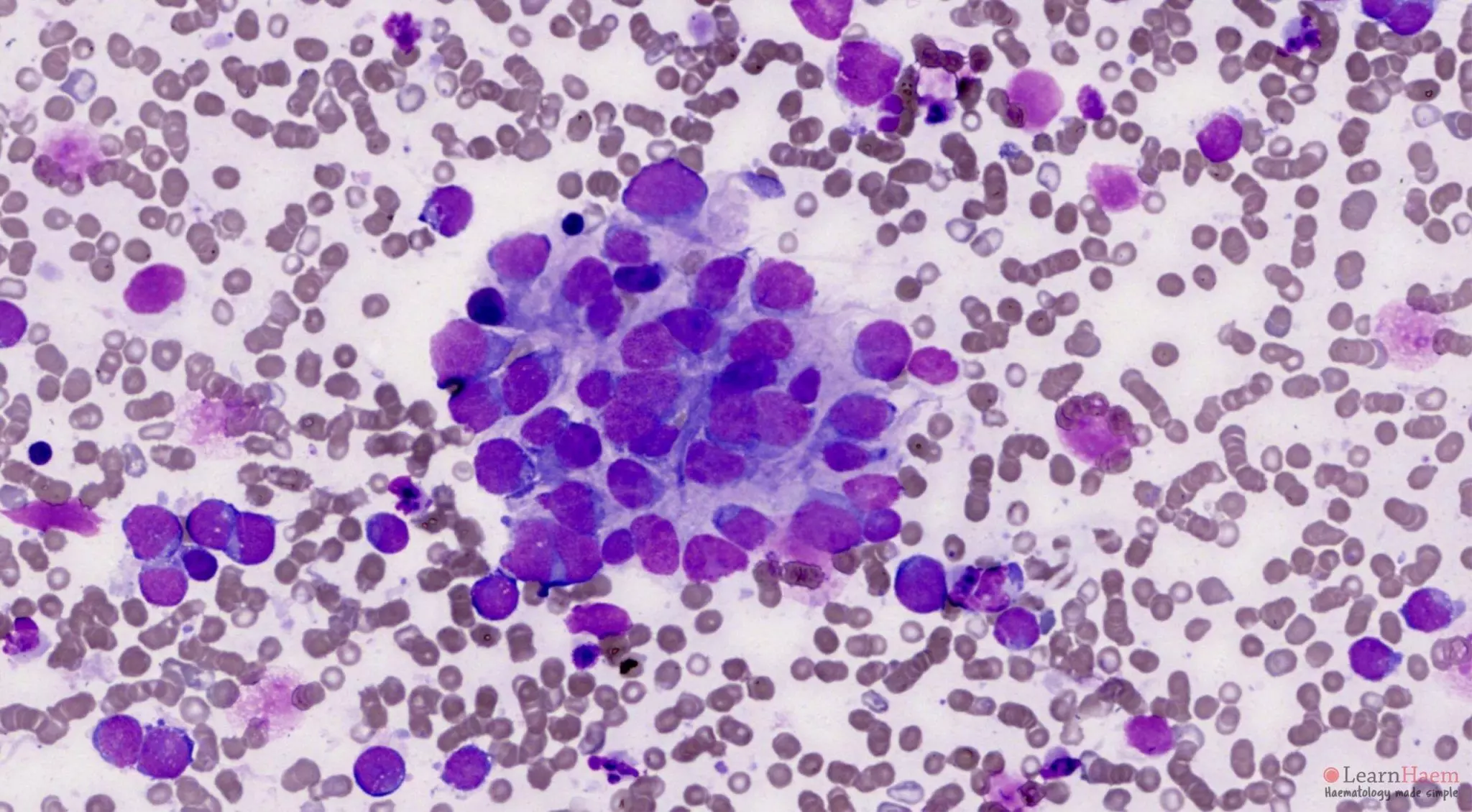
Bone marrow aspirates from patients with metastatic retinoblastoma to the bone marrow. Note the distinct clumps of non-haematopoietic cells.

Toggle Toolbar

Toolbar

Adjustments

Brightness
Contrast
Saturation
Zoom In
Zoom In
Toggle Full Screen
0 x

Peripheral blood film from a patient with bone marrow infiltration by osteosarcoma.

Toggle Toolbar

Toolbar

Adjustments

Brightness
Contrast
Saturation
Zoom In
Zoom In
Toggle Full Screen
0 x

Bone marrow aspirate of a patient with bone marrow involvement by osteosarcoma. Note the distinct clumps of non-haematopoietic cells.

Other Resources